هفت عادت مضر برای سلامت دندانها

روزنو :مراقبتهای بهداشتی دندان باعث صرفه جویی در زمان، تلاش و هزینه میشود، زیرا هزینه عملهای مورد نیاز برای تمیز کردن دندانها بسیار کمتر از عواقب درمان پزشکی است.
زمانی که از دندانهای خود مراقبت میکنیم نیازی به مراجعه مکرر به پزشک نداریم و از انجام عملهای پرهزینه مانند: نصب روکش و بریج اجتناب میکنیم و نسبت به نیاز به ایمپلنت دندانهای طبیعی خود را تا آخر عمر حفظ میکنیم..
از جمله بارزترین عادات بد مضر برای دندانها عبارتند از:
استفاده کم از مسواک
ما باید حداقل روزی یک بار مسواک بزنیم و یک بار در روز نخ دندان بکشیم. مسواک زدن مستلزم استفاده از نوع مناسب مسواک است. انجمن دندانپزشکی آمریکا استفاده از مسواک برقی را به دلیل لرزش سریع آن و رسیدن به مناطقی که مسواک معمولی نمیتواند به آن برسد برای بهترین نتیجه توصیه میکند.
اگر از مسواک معمولی استفاده میکنیم باید نرم باشد و برای لثه ضرر نداشته باشد و نباید زیاد مسواک زد، زیرا به لثه آسیب میرساند و در آینده ریشه دندانها نمایان میشود. طعمها و انواع مختلفی از خمیردندان و ترکیب آن وجود دارد، اما محتوای "فلوراید" آن همچنان مهمترین است.
عدم استفاده از نخ دندان
نخ دندان نه تنها ذرات غذا را از روی دندانها پاک میکند، بلکه به تمیز کردن اطراف لثه ها، جایی که میکروبها جمع میشوند و باعث بوی بد دهان میشوند، کمک میکند. مردم معمولاً از نخ دندان استفاده نمیکنند، زیرا آن را خسته کننده و دشوار میدانند.
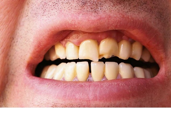
سیگار کشیدن یا جویدن تنباکو
سیگار کشیدن و جویدن تنباکو برای سلامت دندان بسیار مضر است، زیرا باعث بیماری لثه، تضعیف سلامت دندان و از دست دادن آن میشود. مواد موجود در دود باعث زرد شدن دندانها و بوی بد دهان و همچنین جویدن تنباکو باعث سرطان میشود.
خوردن آب نبات سفت و پاپ کورن نارس
خوردن آب نبات سفت باعث آسیب به دندانها میشود، زیرا منجر به ایجاد حفره در آنها و خراب شدن دندانها به دلیل قند موجود در آنها میشود.
جویدن دانههای پاپ کورن نارس، دانههای قهوه و آجیل سفت یکی از خطرناکترین چیزها برای دندان است، زیرا باعث شکستن بخشی از دندان یا گاهی بهطور کامل میشود.
مصرف غذاهای ترش
باید از غذاهای ترش که به لثهها آسیب میرساند، آنها را مستهلک میکنند و باعث عقب نشینی آنها از ریشه دندان نهفته زیر آن میشود خودداری کرد. این غذاها باعث زرد و تیره شدن دندانها میشود مثلن از مصرف زیاد گریپ فروت، آب گوجه فرنگی و نوشیدنیهای ورزشی پرهیز کنیم.
خشکی دهان و کمبود بزاق
آب بهترین نوشیدنی برای بدن است و وقتی مقدار کمی از آن بنوشید بزاق کافی تولید نمیشود. این امر منجر به خشکی دهان و رشد میکروبها میشود. باید روزی ۸ لیوان آب بنوشیم و در صورت فراموشی میتوانیم همیشه یک بطری آب با خود داشته باشیم و هر چند ساعت یک بار از آن آب بنوشیم.
خودداری از مراجعه منظم به پزشک
مراجعه منظم به پزشک به شناسایی زودهنگام مشکلات احتمالی و درمان آنها قبل از بدتر شدن و دردناکتر شدن کمک میکند. هر ۶ ماه یکبار یا طبق توصیه پزشک به پزشک مراجعه کنید.زمانی که به اجتناب از این چیزهای ساده عادت کنید، فوایدی که به دست میآوریم بسیار زیاد است و بازدهی آن برای سلامتی ما بسیار ارزشمند است